近日,中南大学湘雅二医院胸外科喻风雷教授、彭慕云教授团队应用恩沙替尼作为新辅助方案,治疗1例IIIA期罕见ALK融合肺腺癌患者达到完全病理缓解。该探索实践成功发布于European Journal of Cancer(《欧洲肿瘤杂志》),影响因子9.162。这一实践探索不仅为恩沙替尼在围手术期尤其是新辅助治疗应用提供了有力的证据,同时也为ALK-TKI后续应用探索及研发布局提供了良好的方向参考。

患者基础病情描述:
患者女,56岁,不吸烟;胸部CT显示左上肺实性结节,大小2.6*2.1cm,淋巴结增大(第5组);PET-CT提示肺癌及可疑的淋巴结转移;组织活检为肺腺癌;脑部MRI及PET-CT提示无远处转移。诊断为肺腺癌c T1cN2M0 ,IIIA期(AJCC 第八版)。基因检测结果为CTLC-ALK及ALK-DHX8融合。
新辅助治疗方案及选择依据:
经临床综合评估,建议患者行新辅助治疗降期后进行手术。恩沙替尼为二代ALK-TKI,基于恩沙替尼一线eXalt 3 研究以及恩沙替尼中国二期注册临床研究,发现在晚期ALK融合阳性NSCLC患者中疗效确切,同时,恩沙替尼有良好的安全性和耐受性,因不良反应减量的患者占比仅12%,剂量中断仅15%,停药仅5%,且主要不良反应为一过性皮疹。安全性更好的药物作为新辅助治疗,可以保证早期患者更优的生活质量,从而实现最佳药物治疗获益。因此选择恩沙替尼作为该患者新辅助治疗的方案。
恩沙替尼新辅助治疗过程:
患者接受恩沙替尼225mg QD作为新辅助治疗,服药一个月后,左上肺肿瘤病灶明显缩小(由2.6*2.1cm缩小至1.9*1.2cm);服药10个月后,病灶进一步缩小,缩小至1.4*1.0cm(见下图),新辅助治疗后临床分期降为yp T1bN0M0 IA2期。用药期间仅出现轻微皮疹,局部外用药物对症治疗得到很好的缓解。实现了最初选择恩沙替尼作为新辅助治疗方案的临床预期。

手术及复查:
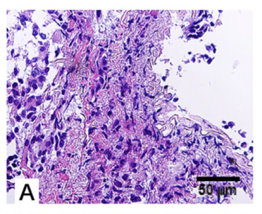
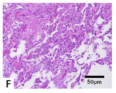
电视胸腔镜(VATS)左上肺肺叶切除+淋巴结系统清扫术,术中切除下气管旁淋巴结、颏下淋巴结、隆突下淋巴结、肺门淋巴结和叶间淋巴结。术后病理检查为炎性细胞浸润,纤维组织增生,并且在原病灶和淋巴结中未找到癌细胞(达到pCR)。术后仍选择恩沙替尼作为术后辅助治疗方案。术后1个月复查,未发现复发或转移。


△新辅助治疗前与术后病理对比

△治疗过程总结
贝达药业副总裁季东表示,ALK阳性患者新辅助治疗存在迫切的临床需求,其探索也方兴未艾。此次临床实例的探索希望可以成为“星星之火”,为ALK阳性NSCLC患者探寻更优质的全程个体化诊疗方案带来更多的思考。此次临床实例是恩沙替尼发布的第一个新辅助临床应用实例,也是目前ALK-TKI新辅助治疗中为数不多的成功探索。期待未来恩沙替尼可以随着临床研究布局的深入造福更多的ALK阳性NSCLC患者。